全市首例!髂静脉支架,重塑生命通路
时间:Oct 31, 2025信息来源:阅读:次
近日,市民族中医院放射科介入团队为一名左侧髂静脉狭窄患者植入静脉支架,成功实施全市首例“髂总-髂外静脉支架植入术”,术后患者恢复良好。

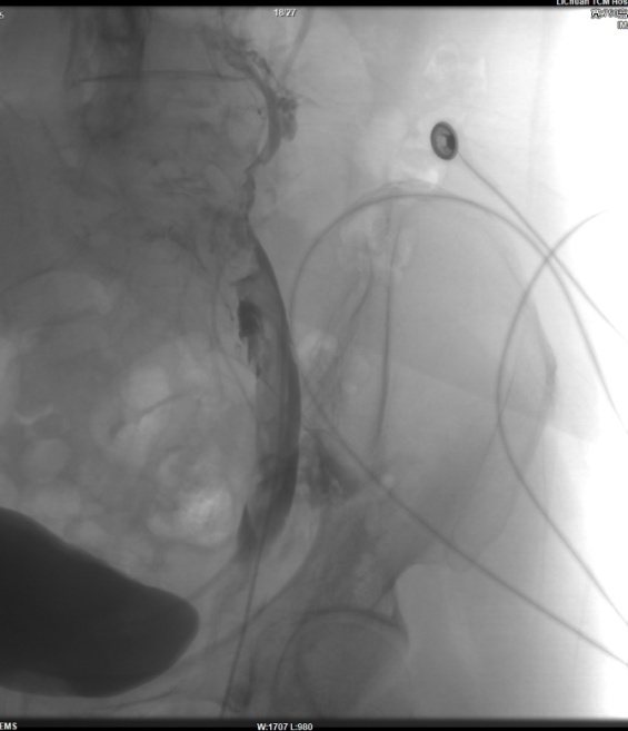
术前DSA造影:左髂静脉狭窄并下肢静脉多发血栓,伴侧支循环形成。

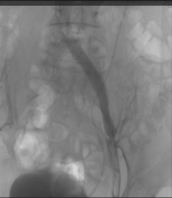
术后DSA造影:左侧髂静脉显示良好。
下肢肿胀、疼痛、皮肤变色、溃疡难愈……这些症状可能是深静脉血栓后遗症、髂静脉压迫综合征等静脉疾病发出的信号。当血管狭窄或阻塞,血液回流受阻,不仅会给日常生活带来不适,更潜藏着肺栓塞等致命风险。
髂静脉支架植入术是一种用于治疗髂静脉狭窄或阻塞的微创介入手术,主要用于改善下肢静脉回流障碍,缓解因髂静脉受压或病变引起的下肢肿胀、疼痛、静脉曲张等症状。手术安全,并发症少见。

